Menu
Eastbury Dental Practice
instagraminstagramfacebookfacebook

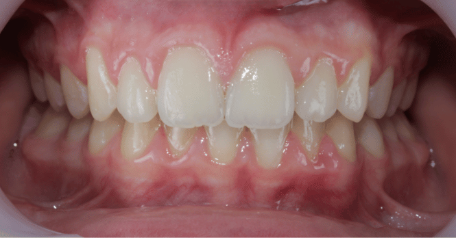
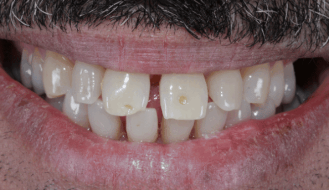
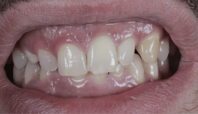
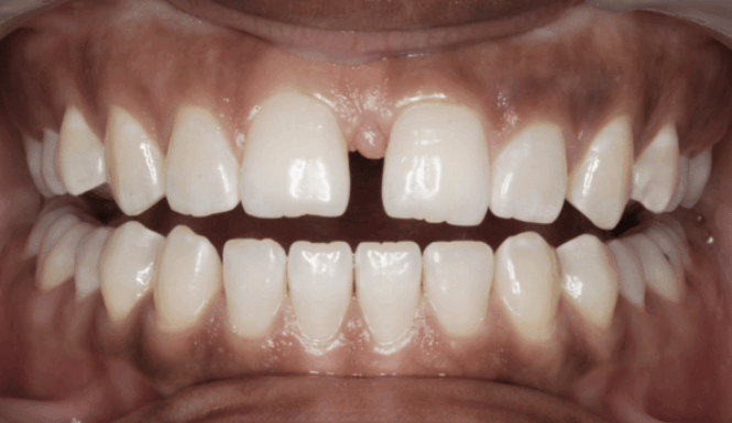
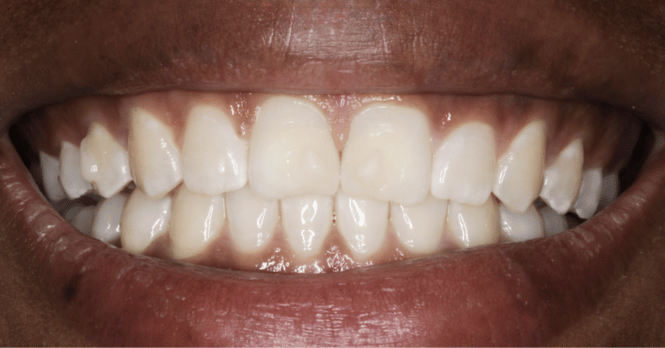
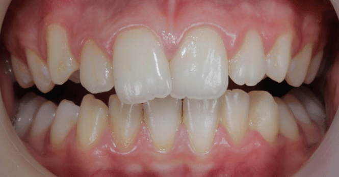
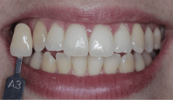
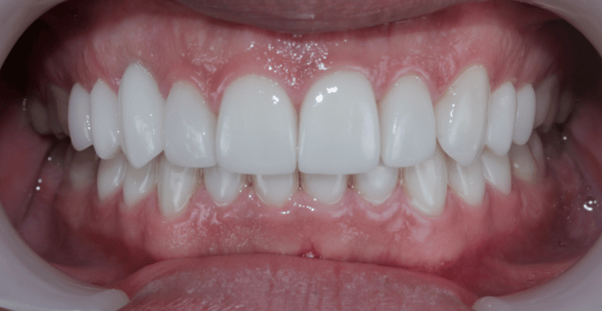
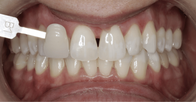
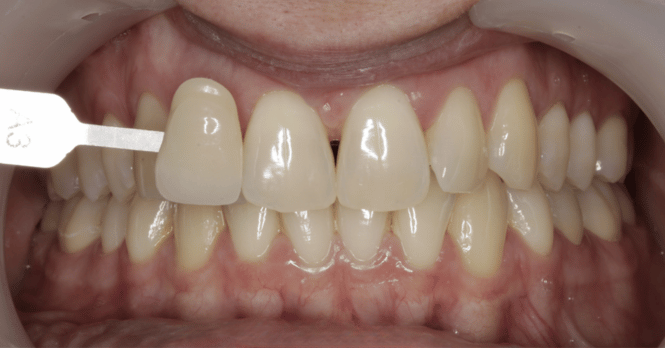
At Eastbury Dental, many of our patients come to us with the desire for a brighter, whiter smile.

We are delighted to offer a range of safe and effective teeth whitening treatments to enhance your smile and boost your confidence. Our whitening options are clinically proven and highly regarded by both dental professionals and patients, ensuring you receive optimal results.

Home Teeth Whitening Treatments

For your convenience, we provide a selection of home whitening kits that are designed to whiten your teeth safely and effectively in the comfort of your own home.

We offer two highly trusted teeth whitening systems:

Boutique Whitening Kit

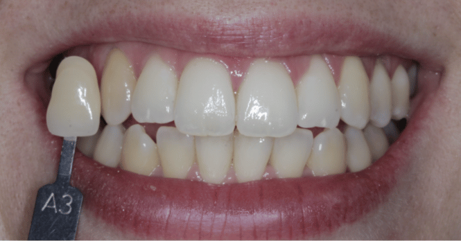
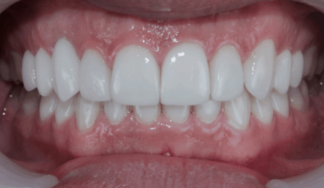
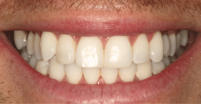
The Boutique Whitening system includes patented trays designed to improve results when compared to traditional whitening trays. This award-winning system provides gradual, noticeable results within 2-3 weeks. Many patients see significant improvements in the shade of their teeth, achieving a natural, radiant smile.

Enlighten Evolution 4 Whitening System

The Enlighten Evolution 4 system is a home-based whitening treatment that offers guaranteed results*. It has the unique ability to lighten teeth by up to 16 shades within two weeks. Enlighten is the only whitening system that guarantees consistent results, and if you do not achieve the desired B1 shade within the treatment period, we will provide free whitening until you do.

*Guarantee valid, subject to meeting certain clinical conditions.

How Enlighten Evolution 4 works

The Enlighten Evolution 4 system involves a straightforward and effective process:

1: Consultation and custom tray creation

During your initial consultation, one of our skilled dentists will take a 3D scan of your teeth. This ensures the creation of custom-made trays tailored specifically to your teeth, guaranteeing optimal fit and results.

2: Adequate toothpaste

You will use Enlighten’s specially formulated toothpaste twice a day to help protect and enhance the whitening process. This toothpaste is developed specifically to maintain and optimise the results of your whitening treatment.

3: Whitening process

Once your trays are ready, our team will show you how to use them. You will whiten your teeth every night for 3 weeks, following the outlined procedure, with our ongoing support throughout the process.

4: Continued support

Throughout your treatment, we will be available to offer any advice or guidance you need, ensuring you achieve ideal results.

For further details about this treatment
CONTACT US or CALL 01923 255 653
Back to Cosmetic Dentistry

Get in touch

Treatments

Select Category

The treatment gallery

View the Gallery

Google rating 4.3 of 5 based on 54 Reviews

Peter W

star

“Friendly, respectful, non-judgemental, explained what will be needed, explained due to healing times, I will be down for three treatment courses and the costs involved...”

google reviews thumb

Richard G

star

“Overall, it is a really nice dental practice, and it helps as it's very close to me, prices are reasonable, and Dr Jolopara (I think)...”

google reviews thumb

Mark A

star

“What can I say?? I have been going to this practice for over 10 years, and that should say enough. Anyway, a warm welcome by...”

google reviews thumb

Margaret O

star

“After many, many years of not visiting a dentist! Eastbury Dentist was recommended to me! At my first appointment, I was made to feel at...”

google reviews thumb

Katina M

star

“I cannot speak highly enough of this practice. I suffer extreme anxiety about going to the dentist, but Shefali Pandit has been absolutely amazing. Her...”

google reviews thumb

Chris H

star

“It has been many years since I visited a dentist. After experiencing a few problems recently, I decided that it was time to bite the...”

google reviews thumb

Vince S

star

“These guys are the best. I would give them 10 stars if I could. So friendly and kind. Sorted me out last year in an...”

google reviews thumb

Mohammad U

star

“I had to get emergency dental treatment for my mum and was recommended by a friend to visit Eastbury Dental Practice. It was an outstanding...”

google reviews thumb

Tony L

star

“A friendly dental practice that’s part NHS and private; no pressure is put on you to pay for private dental treatments as they always give...”

google reviews thumb

Gabriel C

star

“Great dental practice. The receptionist is friendly, and Dr Zeinab Marzoog is very professional. I am really happy with the treatment and treatments. Thank you!”

google reviews thumb

Peter W

star

“Friendly, respectful, non-judgemental, explained what will be needed, explained due to healing times, I will...”

google reviews thumb

Richard G

star

“Overall, it is a really nice dental practice, and it helps as it's very close...”

google reviews thumb

Mark A

star

“What can I say?? I have been going to this practice for over 10 years,...”

google reviews thumb

Margaret O

star

“After many, many years of not visiting a dentist! Eastbury Dentist was recommended to me!...”

google reviews thumb

Katina M

star

“I cannot speak highly enough of this practice. I suffer extreme anxiety about going to...”

google reviews thumb

Chris H

star

“It has been many years since I visited a dentist. After experiencing a few problems...”

google reviews thumb

Vince S

star

“These guys are the best. I would give them 10 stars if I could. So...”

google reviews thumb

Mohammad U

star

“I had to get emergency dental treatment for my mum and was recommended by a...”

google reviews thumb

Tony L

star

“A friendly dental practice that’s part NHS and private; no pressure is put on you...”

google reviews thumb

Gabriel C

star

“Great dental practice. The receptionist is friendly, and Dr Zeinab Marzoog is very professional. I...”

google reviews thumb

Award-winning high-quality dental care treatments Private & NHS

View all Treatments

Dr Shilan Shah

BDS Dip(Rest) | PgCert (Dental Education) | FHEA GDC No. 177655

Principal Dentist

Learn More

Dr Shefali Patel

Statutory Exam 2007 GDC No. 265037

Dentist

Learn More

Dr Pooja Kapoor

102024 GDC No. 102024

Dentist

Learn More

Dr Nehal Patel

BDS Lond 2008 GDC No. 154780

Dentists

Learn More

Dr Zeinab Marzoog

LDS Royal College of Surgeons Of England 2013 GDC No. 241637

Dentist

Learn More

Dr Roshni Jolapara

BChD University of Leeds 2014 GDC No. 251934

Dentist

Learn More

Dr Shilan Shah

BDS Dip(Rest) | PgCert (Dental Education) | FHEA GDC No. 177655

Principal Dentist

Learn More

Dr Shefali Patel

Statutory Exam 2007 GDC No. 265037

Dentist

Learn More

Dr Pooja Kapoor

102024 GDC No. 102024

Dentist

Learn More

Dr Nehal Patel

BDS Lond 2008 GDC No. 154780

Dentists

Learn More

Dr Zeinab Marzoog

LDS Royal College of Surgeons Of England 2013 GDC No. 241637

Dentist

Learn More

Dr Roshni Jolapara

BChD University of Leeds 2014 GDC No. 251934

Dentist

Learn More
Google Rating
4.6
Google Rating
Google-review