Menu
Eastbury Dental Practice
instagraminstagramfacebookfacebook

Dr Shilan Shah Principal Dentist

Dr Shilan is highly committed to providing his patients with the best care available by enhancing their smiles and helping patients gain more confidence in themselves.

Dental Treatment Finder

eastbury Dental

Our dental practice is located in Watford, Hertfordshire. We provide high-quality dental care for the entire family.

Established in 1976, Eastbury Dental Practice has provided dental care to generations of families throughout Hertfordshire. Our relaxed, homely practice is fully air-conditioned and has ample parking available for patients. We provide general, cosmetic, orthodontic and emergency dental treatments, as well as dental implants. All our patients have been and are still being cared for by our highly experienced dental team.

We offer Private Dentistry, Denplan Membership Care and Essential Plans and NHS dentistry.

Discover More
Clinic Area
Practice Room
About Team
Team with patient
Surgery Room

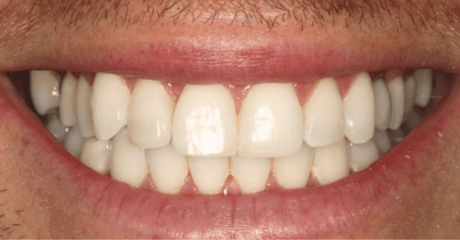
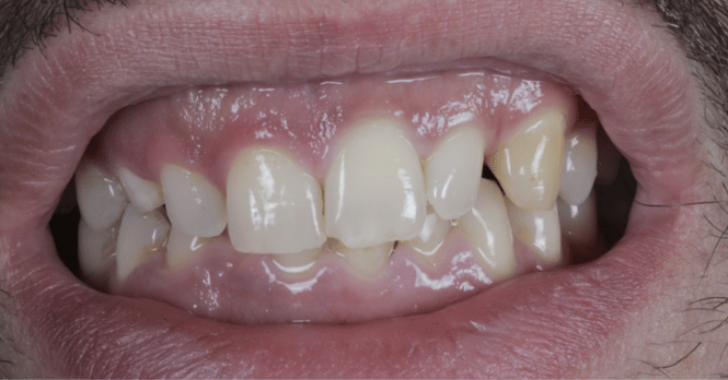
Dental implants the gold standard of dentistry

Dental Implant treatment plan with Eastbury Dental

Step 1

Consult

Consult

Initial consultation with Dr Shah

Step 2

Scan

Scan

3D CT scan to measure the bone

Step 3

Plan

Plan

Receive your personal treatment plan

Step 4

Sedation

Sedation

2-3 days before treatment seditionist will make contact

Step 5

Surgery

Surgery

On surgery day your implant will be placed

Step 6

Review

Review

2 weeks review after surgery

Step 1

Consult

Consult

Initial consultation with Dr Shah

Step 2

Scan

Scan

3D CT scan to measure the bone

Step 3

Plan

Plan

Receive your personal treatment plan

Step 4

Sedation

Sedation

2-3 days before treatment seditionist will make contact

Step 5

Surgery

Surgery

On surgery day your implant will be placed

Step 6

Review

Review

2 weeks review after surgery

Book a FREE Consultation Learn More

Invisalign® Straighten your teeth in secret

 Eastbury Dental Practice

0%

Interest-free finance available

3D

iTero Scanner available

FREE

Teeth whitening worth £295

Book a Consultation Learn More
Eastbury Dental Practice

Top 1% of Invisalign® providers

Why Invisalign® @ Eastbury Dental?

  • Top 1% of Invisalign® providers in Europe
  • One of the top 5 providers of Invisalign® in London
  • Specialist-led treatment
  • Fixed and/or removable retainers
  • One year of aftercare
Learn More
 invisalign_image

Google rating 4.3 of 5 based on 54 Reviews

Peter W

star

“Friendly, respectful, non-judgemental, explained what will be needed, explained due to healing times, I will be down for three treatment courses and the costs involved...”

google reviews thumb

Richard G

star

“Overall, it is a really nice dental practice, and it helps as it's very close to me, prices are reasonable, and Dr Jolopara (I think)...”

google reviews thumb

Mark A

star

“What can I say?? I have been going to this practice for over 10 years, and that should say enough. Anyway, a warm welcome by...”

google reviews thumb

Margaret O

star

“After many, many years of not visiting a dentist! Eastbury Dentist was recommended to me! At my first appointment, I was made to feel at...”

google reviews thumb

Katina M

star

“I cannot speak highly enough of this practice. I suffer extreme anxiety about going to the dentist, but Shefali Pandit has been absolutely amazing. Her...”

google reviews thumb

Chris H

star

“It has been many years since I visited a dentist. After experiencing a few problems recently, I decided that it was time to bite the...”

google reviews thumb

Vince S

star

“These guys are the best. I would give them 10 stars if I could. So friendly and kind. Sorted me out last year in an...”

google reviews thumb

Mohammad U

star

“I had to get emergency dental treatment for my mum and was recommended by a friend to visit Eastbury Dental Practice. It was an outstanding...”

google reviews thumb

Tony L

star

“A friendly dental practice that’s part NHS and private; no pressure is put on you to pay for private dental treatments as they always give...”

google reviews thumb

Gabriel C

star

“Great dental practice. The receptionist is friendly, and Dr Zeinab Marzoog is very professional. I am really happy with the treatment and treatments. Thank you!”

google reviews thumb

Peter W

star

“Friendly, respectful, non-judgemental, explained what will be needed, explained due to healing times, I will...”

google reviews thumb

Richard G

star

“Overall, it is a really nice dental practice, and it helps as it's very close...”

google reviews thumb

Mark A

star

“What can I say?? I have been going to this practice for over 10 years,...”

google reviews thumb

Margaret O

star

“After many, many years of not visiting a dentist! Eastbury Dentist was recommended to me!...”

google reviews thumb

Katina M

star

“I cannot speak highly enough of this practice. I suffer extreme anxiety about going to...”

google reviews thumb

Chris H

star

“It has been many years since I visited a dentist. After experiencing a few problems...”

google reviews thumb

Vince S

star

“These guys are the best. I would give them 10 stars if I could. So...”

google reviews thumb

Mohammad U

star

“I had to get emergency dental treatment for my mum and was recommended by a...”

google reviews thumb

Tony L

star

“A friendly dental practice that’s part NHS and private; no pressure is put on you...”

google reviews thumb

Gabriel C

star

“Great dental practice. The receptionist is friendly, and Dr Zeinab Marzoog is very professional. I...”

google reviews thumb

Award-winning high-quality dental care treatments Private & NHS

View all Treatments

Dr Shilan Shah

BDS Dip(Rest) | PgCert (Dental Education) | FHEA GDC No. 177655

Principal Dentist

Learn More

Dr Shefali Patel

Statutory Exam 2007 GDC No. 265037

Dentist

Learn More

Dr Pooja Kapoor

102024 GDC No. 102024

Dentist

Learn More

Dr Nehal Patel

BDS Lond 2008 GDC No. 154780

Dentists

Learn More

Dr Zeinab Marzoog

LDS Royal College of Surgeons Of England 2013 GDC No. 241637

Dentist

Learn More

Dr Roshni Jolapara

BChD University of Leeds 2014 GDC No. 251934

Dentist

Learn More

Dr Shilan Shah

BDS Dip(Rest) | PgCert (Dental Education) | FHEA GDC No. 177655

Principal Dentist

Learn More

Dr Shefali Patel

Statutory Exam 2007 GDC No. 265037

Dentist

Learn More

Dr Pooja Kapoor

102024 GDC No. 102024

Dentist

Learn More

Dr Nehal Patel

BDS Lond 2008 GDC No. 154780

Dentists

Learn More

Dr Zeinab Marzoog

LDS Royal College of Surgeons Of England 2013 GDC No. 241637

Dentist

Learn More

Dr Roshni Jolapara

BChD University of Leeds 2014 GDC No. 251934

Dentist

Learn More

Get in touch

Google Rating
4.6
Google Rating
Google-review